Conebeam DEXIS OP3D LX 12x15 à DRAGUIGNAN (83)
Accueil > Nos réalisations > Conebeam DEXIS OP3D LX 12x15 à DRAGUIGNAN (83)

Conebeam DEXIS OP3D LX 12x15 à DRAGUIGNAN (83)

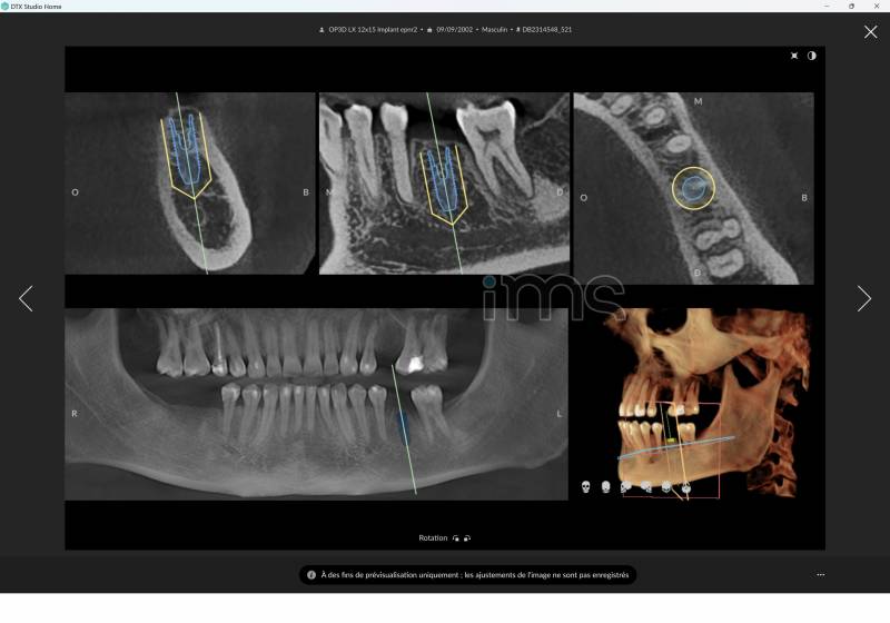
Installation conebeam DEXIS OP3D LX 12x15
avec logiciel 3D DTX Clinic (licences jusqu'à 40 postes) : Intelligence Artificielle, Aide au diagnostic, Gestion d'images multiformats (JPEG, DICOM, STL), Planification implantaire, etc.

Volumes 3D :
* 5x5 Diagnostic localisé
Examen endodontique, sites d’implant unique et pathologies

* 6x9 Arcade Simple
Planification implantaire, création de guides chirurgicaux et canines incluses

* 8x8 Double Arcade
Planification implantaire mandibulaires et maxillaires sur les deux arcades

* 10x10 Dentition complète
Mandibule et maxillaire avec la région de la 3ème molaire et les sinus maxillaires inférieurs - idéal pour les implants multiples ou l'évaluation parodontale

* 12x15 Dentition complète + ATM
Mandibule et maxillaire, ATM bilatérale, sinus et voies pharyngiennes

* 15x20 (en option) Complexe maxillo-facial
Mandibule et maxillaire, ATM bilatérale, voies respiratoires supérieures et inférieures, profil des tissus mous, chirurgie maxillo-faciale et bilan orthodontique


NB : Cas particulier de cette installation, avec la présence de plancher chauffant et réseau technique >>> utilisation du pied support obligatoire !
 
Nous écrire
Les champs indiqués par un astérisque (*) sont obligatoires
15000
+ de références produits
1000
+ de clients satisfaits
20
années de savoir-faire
6
+ départements couverts